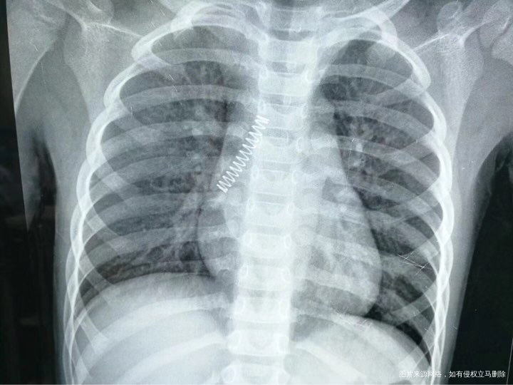
朋友圈一个大夫分享的,他们医院收了个孩子,学电视吞枪自杀,用玩具枪对着嘴里开,结果枪里的弹簧蹦出来,卡到肺里了,做手术才取出来,吓死了


抢抢抢 发布
朋友圈一个大夫分享的,他们医院收了个孩子,学电视吞枪自杀,用玩具枪对着嘴里开,结果枪里的弹簧蹦出来,卡到肺里了,做手术才取出来,吓死了


最新评论
小马妹
类似事情发生好多,上次是一个住高层的小孩,撑了把雨伞就往下跳,也是看电视的
抢抢抢 回复 小马妹:吓人
2018-09-13 13:00:00 回复
平平淡淡才是真
太吓人了
抢抢抢 回复 平平淡淡才是真:差点儿没命
2018-09-13 13:08:59 回复
荷花宝宝
好吓人呀,小孩子啥都不懂,真操心
抢抢抢 回复 荷花宝宝:小孩真的是
2018-09-13 13:21:30 回复
糖宝
好恐怖(#゚Д゚)
2018-09-13 13:26:58 回复
我的缘份五月
吓人
2018-09-13 13:31:41 回复
萱麻麻*
我去😓
2018-09-13 13:56:32 回复
小小妮儿
天哪 拿生命开玩笑
抢抢抢 回复 小小妮儿:不能乱看电视
2018-09-13 14:34:14 回复
顺其自然吧
太吓人了
2018-09-13 16:04:23 回复
来宝
我们这看看喜洋洋灰太狼看的孩子绑树上烧伤了,都上新闻了,喜洋洋灰太狼现在封杀了
2018-09-14 23:45:52 回复
相关推荐
预约专家
留下您的联系方式,预约成功会及时通知您
预约成功
好孕帮顾问会及时与您确认专家预约时间,请保持手机畅通