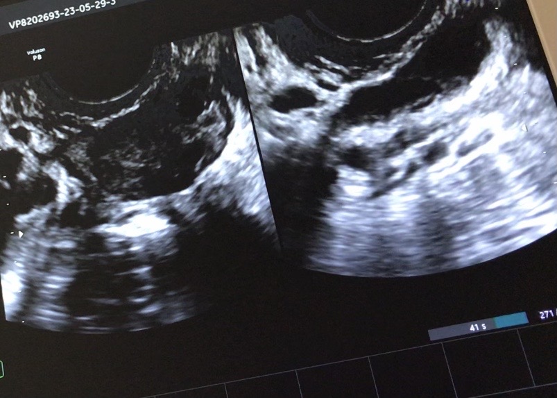
月经期查b超见图片,是否提示输卵管积水?还有什么其他问题?黑色一片一片的区域是什么东西?



匿名用户 发布
月经期查b超见图片,是否提示输卵管积水?还有什么其他问题?黑色一片一片的区域是什么东西?



输卵管治疗成功案例
相关推荐
预约专家
留下您的联系方式,预约成功会及时通知您
预约成功
好孕帮顾问会及时与您确认专家预约时间,请保持手机畅通
最新评论
周加林
B超要图片和报告结合看,超声医生最清楚,这样留下的固定图片不能反应真实情况目前图片反应的是有盆腔积液,子宫未见异常,输卵管积液不好说,超声留的切面不好确定
匿名用户 回复 周加林:谢谢
2023-06-11 15:12:28 回复
杜奎玲
总共四张图片,一张是子宫的图片,一张是卵巢的图片,另外两张看不清楚到底是哪里的图片,如果有输卵管积水的话,建议做输卵管造影检查,更能直观的看看输卵管是否通畅走形有无积水,B超检查即使有轻度的积水,不一定能看出来
2023-06-11 15:47:28 回复
张楠楠
你好,建议动态看。咨询超声科大夫。
2023-06-11 17:42:29 回复